(508) 757-4003
URGENT FOOT/ANKLE CARE

Central Massachusetts Podiatry

Podiatrists located in Worcester, MA & Westborough, MA

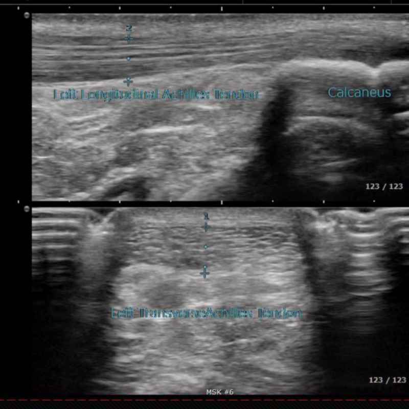
Diagnostic Ultrasound for Foot and Ankle Conditions

Whether it's your workday, workouts, or family life, chronic foot or ankle pain can disrupt whatever you do. At Central Massachusetts Podiatry, we provide precise, real-time imaging to guide your treatment. Available the same day in our Worcester & Westborough clinics to pinpoint the cause of your pain and get you on the path of relief.

(508) 757-4003
APPOINTMENT

What Is Diagnostic Ultrasound in Podiatry?

Diagnostic ultrasound works much like the device used during pregnancy to capture images of a baby in the womb. In podiatry, we use this safe, non-invasive tool to see tendons, ligaments, joints, and even bone in real time. Unlike X-rays or MRIs, ultrasound allows our podiatrists to gently move and stress your joints during the scan, giving a more complete understanding of what’s causing your pain.

Conditions Diagnosed with Foot and Ankle Ultrasound

 Our podiatrists use diagnostic ultrasound to evaluate a wide range of conditions with precision and accuracy.  

  • Plantar fasciitis
  • Tendonities or Tendon injuries (Achilles, peroneal, posterior tibial)
  • Ligament sprains or Muscle strains
  • Neuromas
  • Cysts and bursitis
  • Inflammatory conditions

Here’s a video that explains how ultrasound helps diagnose common foot conditions:

Video Poster Image

How the Procedure Works

Preparation: Remove your shoe and sock. The foot is positioned comfortably.

Scanning: The podiatrist moves a handheld device over the area, sending sound waves through the tissues. It takes about 45 minutes or more, depending on the area being scanned.

Image created: Returning echoes form a live image on the screen.

Review: Images are interpreted on the spot by our board-certified podiatrists.

Done: The test is painless, safe, and radiation-free.

Ultrasound-Guided Foot Treatment

Beyond diagnosis, ultrasound also guides treatment. If a problem area is identified, our podiatrists can use live imaging to precisely deliver therapies, including steroid injections, amniotic tissue allografts, platelet-rich plasma (PRP), or shockwave treatments directly to the site of injury.  

In this quick demonstration, you'll see how an ultrasound-guided injection is performed for a Morton’s neuroma by one of our podiatrists, Dr Donald Pelto, showcasing the precision and effectiveness of delivering targeted treatment using real-time imaging.

Video Poster Image

Frequently Asked Questions

Why Choose Central Massachusetts Podiatry?

Experienced Specialists

Our board-certified podiatrists have years of training and hands-on experience diagnosing and treating complex foot and ankle conditions.

Advanced In-Office Technology

With diagnostic ultrasound available on-site, you don’t have to wait weeks for imaging appointments elsewhere. You’ll get clarity and answers the same day.

Streamlined Foot Care

From diagnosis to treatment planning, everything happens in one place. If needed, we can also use ultrasound to precisely guide treatments such as injections or shockwave therapy.

Schedule Your Diagnostic Ultrasound Today

Get fast, accurate imaging and a clear treatment plan during your visit at Central Massachusetts Podiatry.  With same-day diagnostic ultrasound available in Worcester and Westborough clinics, our podiatrists can help you find the cause of your foot or ankle pain and start the right care immediately. Walk-ins are welcome Mondays thru Fridays from 8 am to 4 pm or you can or book your consultation in advance at your convenience—schedule an appointment now.

WORDS FROM OUR PATIENTS

30-Second Foot Analyzer

30-Second Foot Analyzer

Fill in your email, click "Get Started," and learn what is wrong with your foot.

By providing your email address, you agree to receive newsletters, promotional offers, and updates from Central Massachusetts Podiatry. You can unsubscribe at any time by clicking the link in our emails.

Read Our Related Blogs

The Importance of Diagnostic Ultrasound for Foot and Ankle Injuries


Foot and ankle pain is more than just a nuisance—it can keep you from...
Read more →

Shockwave Therapy & Amnio Injection for Heel Pain Relief


When the pain hits, it can feel like the world is coming down on our feet... 
Read more →

Recover Without Surgery using Shockwave Therapy


I had a great idea! My kids kept asking me to buy them a metal detector... 
Read more →

The Importance of Diagnostic Ultrasound for Foot and Ankle Injuries


Foot and ankle pain is more than just a nuisance—it can keep...
Read more →

Shockwave Therapy & Amnio Injection for Heel Pain Relief


When the pain hits, it can feel like the world is coming down...
Read more →

Recover Without Surgery using Shockwave Therapy


I had a great idea! My kids kept asking me to buy them a metal... 
Read more →

VIEW ALL BLOGS

Read Our Latest Blogs

Plantar Fasciitis Prevention for Runners: Preseason Tips That Work


If you’re a runner, you’ve most probably heard of plantar fasciitis, or experienced it yourself.It’s one of the most common... 
Read more →

Frustrated With Heel Pain? This Home Program is For You


For weeks or even months, you’ve been complaining a lot about your heel pain. You might be wondering is this plantar... 
Read more →

 

Can You Actually Get Rid of a Bunion?


Do you suffer from bunion pain? This common foot deformity can make everyday activities like walking and exercising... 
Read more →

Plantar Fasciitis Prevention for Runners: Preseason Tips That Work


If you’re a runner, you’ve most probably heard of plantar fasciitis, or experienced it yourself... 
Read more →

Frustrated With Heel Pain? This Home Program is For You


For weeks or even months, you’ve been complaining a lot about your heel pain...
Read more →

Can You Actually Get Rid of a Bunion?


Do you suffer from bunion pain? This common foot deformity can make everyday activities like walking and exercising uncomfortable... 
Read more →

VIEW ALL BLOGS
Central Massachusetts Podiatry, Worcester, MA

Phone: 508-757-4003
Text: 508-625-7774
Address: 299 Lincoln Street, Suite 202, Worcester, MA 01605

Central Massachusetts Podiatry, Westborough, MA

Phone: 508-757-4003
Text: 508-625-7774
Address: 24 Lyman Street, Suite 180, Westborough, MA 01581
Â